 
																					Ультразвуковая чистка зубов
все необходимые материалы
Возможно, каждый мечтает о светлых зубах и красивой улыбке!
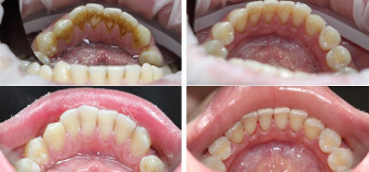
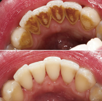
Ультразвуковая чистка зубов состоит из двух этапов – чистки зубов ультразвуком и последующей полировки зубов специальными пастами и щетками.
Главные преимущества ультразвуковой чистки зубов – это:
  • эффективное удаление зубного камня и налета;
• профилактика заболеваний десен и пародонта.
Процедуру желательно повторять 1-2 раза в год.
Ультразвуковая чистка зубов – это безопасный и малотравматичный метод очищения эмали от пигментных пятен и отложений. С помощью ультразвукового скалера разрушается зубной камень любой плотности, удаляются въевшиеся пищевые красители и мелкие кариозные образования.
Большой опыт, высокий профессионализм специалистов стоматологической клиники «Juliana Dentist Clinic» позволяет нам проводить процедуру чистки зубов на самом высоком уровне, возвращая улыбке эстетическую красоту. Присоединяйтесь к топовым блоггерам, которые остались довольны работами клиники: @t.a.s.h.a.n.a.t.a.s.h.a, @alena_omovych, @jenny.m.hanna, @safronovakristinaofficial, @anna_alkhim, @ucupcake, @merzybitch и много других.
Как всё происходит?
Вы сообщаете о желаемой дате прохождения процедуры, мы Вас записываем на консультацию к доктору, обсуждаете детали и возможности чистки, записываетесь на процедуру и проходите её. Остаетесь довольны результатом и более счастливы :)
По любым вопросам пишите/звоните 0934268163 Анастасия (Viber, Telegram).
Получить подарочный сертификат можно:
 
					 
					 
					 
					 
					 
					 
					 
										                                     
										                                    
Простите улыбку близким! Сохраните здоровье своих зубов с ультразвуковой чисткой в Днепре!
Наши профессиональные стоматологи гарантируют безболезненный и эффективный процесс чистки, удаляя налет, загрязнение и зубной камень. Почувствуйте свежесть и гладкость вашей улыбки!
Подарочный сертификат на ультразвуковую чистку в Днепре – идеальный подарок для тех, кому важно не только выглядеть хорошо, но и заботиться о своем здоровье. Подарите радость и заботу о близких!
Сделайте первый шаг к большему комфорту и уверенности в своей улыбке!